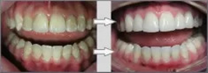
Cofnięta górna 2 - licówka?

Witam serdecznie, Oczywiście, przy braku wady zgryzu nie ma konieczności leczenia ortodontycznego ze względu na wadę tylko jednego zęba. Jak najbardziej istnieje możliwość protetycznego leczenia Pani zęba. Przed decyzją o konkretnym już leczeniu...








